Каталог видео
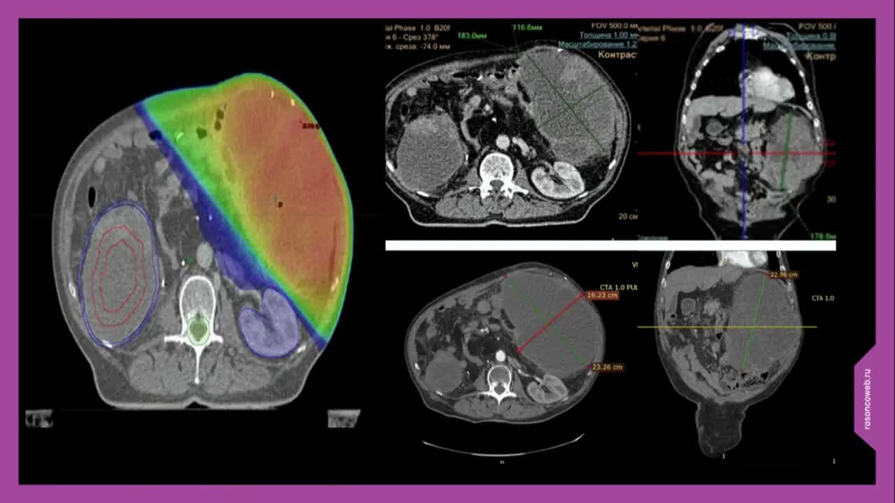
Комбинированное лечение первично-нерезектабельного рецидива забрюшинной липосаркомы
Титова Татьяна Александровна
Морфологические аспекты забрюшинных липосарком: современная концепция
Козлов Николай Александрович
УЗ-визуализация и core-biopsy под УЗ-навигацией забрюшинных неорганных сарком
Бердников Сергей Николаевич
Современная концепция лечения забрюшинных неорганных сарком: проблемы и пути их решения
Эберт Мария Альбертовна
Роль вакцины на основе аутологичных дендритных клеток в лечении глиобластом
Балдуева Ирина Александровна
Опыт клинического применения дендритно-клеточной вакцины в ФГБУ «НМИЦ онкологии им. Н.Н. Петрова»
Новик Алексей Викторович
Разработка и подготовка к регистрации клеточного продукта на основе аутологичных дендритных клеток
Нехаева Татьяна Леонидовна
Генетически модифицированные T-NK клетки с химерным Т-клеточным рецептором при солидных опухолях
Кисилевский Михаил Валентинович
Функциональная характеристика in vitro-генерированных противоопухолевых Т-лимфоцитов
Сенников Сергей Витальевич
Вопросы регулирования и государственная регистрация клеточных препаратов в РФ
Мельникова Екатерина Валерьевна
Новое в практических рекомендациях RUSSCO. Онкоурология
Носов Дмитрий Александрович
Новое в практических рекомендациях RUSSCO. Рак легкого
Лактионов Константин Константинович
Новое в практических рекомендациях RUSSCO. Онкогинекология
Тюляндина Александра Сергеевна
Новое в практических рекомендациях RUSSCO. Опухоли печени, желчных протоков
Бредер Валерий Владимирович
Новое в практических рекомендациях RUSSCO. Меланома
Строяковский Даниил Львович
Новое в практических рекомендациях RUSSCO. Рак молочной железы
Королева Ирина Альбертовна
Новое в практических рекомендациях RUSSCO. Опухоли ЖКТ
Федянин Михаил Юрьевич
Принятие сложных клинических решений в онкологии. Интерактивная игра
Данилова А.С., Нигматуллина И.Е., Ахмадиярова Я.С., Глузман М.И., Стативко О.А., Строяковский Д.Л., Савёлов Н.А., Жукова Л.Г., Моисеенко Ф.В., Трякин А.А.
Стандарты эндоскопического удаления раннего рака толстой кишки
Веселов Виктор Владимирович
Колоноскопия – ведущий метод диагностики предраковой патологии и рака толстой кишки. Роль ИИ
Завьялов Дмитрий Вячеславович
Показаны записи: 2541-2560 из 3349